
Gingivitis vs Periodontitis: Understanding the Two Main Types of Gum Diseases
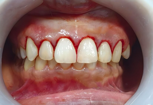
Gum problems are common and can affect people of all ages. These issues can range from mild swelling to serious infections. Early signs may include

Gum problems are common and can affect people of all ages. These issues can range from mild swelling to serious infections. Early signs may include

Cracked teeth are a common dental problem that should never be ignored. If left untreated, a cracked tooth can lead to serious dental issues such

A dental crown is a tooth-shaped cap that is placed over a damaged or decayed tooth to restore its shape, size, and strength. It is

Metal braces are a tried-and-true orthodontic treatment option that has been used for decades to correct misaligned teeth and achieve a straighter smile. They consist

Dentures are a popular and effective solution for people who have lost their natural teeth. They are removable prosthetic devices that are designed to replace

Are you tired of the gaps in your smile that make you self-conscious? Imagine a world where you can confidently flaunt a complete, dazzling smile

After wisdom tooth extraction, many people wonder what comes next. You may have questions about wisdom tooth removal recovery, wisdom tooth extraction aftercare, and how

Are you tired of the gaps in your smile that make you self-conscious? Imagine a world where you can confidently flaunt a complete, dazzling smile

Many people wonder why they should visit their dentist regularly. In fact, regular dental checkups are important for more than just a bright smile. Not

Wisdom tooth extraction, a common dental procedure many individuals undergo to alleviate pain, prevent complications, and maintain oral health. These third molars, also known as

Curious about transforming your smile? Here are answers to some common questions about smile correction, helping you navigate the exciting journey toward a confident and

Malocclusion, the misalignment of teeth or improper positioning of the upper and lower jaws, can be a source of discomfort and self-consciousness. However, with effective

Malocclusion is a common dental condition that affects millions of people worldwide. It refers to the misalignment of teeth or the improper positioning of the

Myth 1: TMJ only affects older adults. Fact: TMJ can affect individuals of all ages, including children, teenagers, and adults. Age is not a determining

Why are Dentures Used? Dentures are used to replace missing teeth and restore your smile and ability to eat and speak properly. They provide support

Teeth bleaching, commonly known as teeth whitening, is one of the most popular cosmetic dental treatments available today. It’s a quick and effective way to

Q1: What is TMJ? A1: Temporomandibular joint (TMJ) is the joint that connects your jawbone to your skull. TMJ can also refer to temporomandibular joint

Dental crowns are tooth-shaped caps that are placed over damaged or decayed teeth to restore their shape, size, and strength. If your dentist recommends a

In the world of modern dentistry, dental implants have brought a remarkable solution for people who want to restore their smiles, regain confidence, and improve

Invisible aligners, like Invisalign, are a popular and discreet option for straightening your teeth. One of the main advantages of these aligners is that they

A radiant smile is often considered one of the most attractive features a person can possess. It has the power to boost self-confidence, enhance social

A dental procedure to repair and save a tooth that is infected or badly decayed. During a root canal procedure, the dentist removes the infected

Dental bridges are a type of dental restoration used to replace one or more missing teeth. They are typically made up of one or more

Periodontal disease, also known as gum disease, is a common condition that affects the gums and tissues surrounding the teeth. If left untreated, it can

In the world of modern dentistry, dental implants have brought a remarkable solution for people who want to restore their smiles, regain confidence, and improve

Dental Caries is an infectious disease caused by microorganisms or bacteria which destroy the tooth structure leading to holes in the teeth. Dental caries, also